Una lesión cerebral es una de las afecciones más complejas y desafiantes que una persona puede enfrentar. Su impacto va mucho más allá de lo físico, afectando la cognición, las emociones y la calidad de vida en general. Comprender los distintos tipos de lesiones cerebrales, cómo ocurren y cómo se abordan es fundamental para pacientes, cuidadores y profesionales de la salud. Este artículo explora las clasificaciones principales, las causas más comunes y el crucial proceso de diagnóstico y rehabilitación.

- ¿Qué es una Lesión Cerebral?
- Causas Comunes de Lesiones Cerebrales
- Tipos Específicos de Lesiones Cerebrales
- Lesiones Focales vs. Lesiones Difusas
- Síntomas de una Lesión Cerebral
- Diagnóstico de una Lesión Cerebral
- Tratamiento y Rehabilitación
- El Proceso de Recuperación
- Preguntas Frecuentes sobre Lesiones Cerebrales
¿Qué es una Lesión Cerebral?
En términos generales, una lesión cerebral se refiere a cualquier daño en el cerebro. Una forma común de clasificar estas lesiones es distinguirlas entre las que son resultado de una fuerza externa y las que tienen causas internas.
Se habla de lesión cerebral adquirida (LCA) para referirse a un daño cerebral que ocurre después del nacimiento, no siendo resultado de un trastorno genético, congénito o degenerativo. Dentro de las LCA, encontramos dos grandes categorías:
- Lesión Cerebral Traumática (LCT): Causada por una fuerza externa, como un golpe, sacudida o penetración en la cabeza, que interrumpe el funcionamiento normal del cerebro.
- Lesión Cerebral No Traumática: Ocurre debido a un problema interno, como un accidente cerebrovascular, una infección o la falta de oxígeno.
Es importante destacar que, aunque las causas difieren, el proceso de recuperación y rehabilitación a menudo comparte similitudes, centrándose en restaurar la función y mejorar la calidad de vida.
Causas Comunes de Lesiones Cerebrales
Las lesiones cerebrales pueden ser provocadas por una amplia gama de incidentes y condiciones. Las causas más frecuentes incluyen:
- Traumatismo Craneoencefálico: Es una causa principal de LCT. Puede ser provocado por caídas (especialmente en adultos mayores), accidentes de tráfico, agresiones (violencia doméstica, asaltos), golpes en la cabeza (deportes, accidentes laborales) o lesiones por explosiones.
- Accidente Cerebrovascular (Ictus): Una causa común de LCA no traumática. Ocurre cuando el flujo sanguíneo a una parte del cerebro se interrumpe (ictus isquémico) o cuando hay una hemorragia en el cerebro (ictus hemorrágico).
- Infecciones del Sistema Nervioso Central: Como la meningitis o la encefalitis, que pueden causar inflamación y daño cerebral.
- Falta de Oxígeno (Anoxia/Hipoxia): Periodos prolongados sin suficiente oxígeno al cerebro, como en casos de ahogamiento, asfixia, estrangulación o inhalación de humo.
- Tumores Cerebrales: Tanto benignos como malignos, pueden dañar el tejido cerebral circundante al ejercer presión o invadirlo.
- Exposición a Toxinas o Drogas: Ciertas sustancias químicas, metales pesados (plomo, mercurio) o el abuso de drogas pueden ser neurotóxicos y causar daño cerebral.
- Descarga Eléctrica: Puede causar daño directo al tejido cerebral.
- Trastornos Metabólicos: Ciertas condiciones médicas que afectan el metabolismo pueden impactar la función cerebral.
La identificación de la causa subyacente es crucial para el diagnóstico y el plan de tratamiento inicial.
Tipos Específicos de Lesiones Cerebrales
Las lesiones cerebrales se pueden clasificar de diversas maneras, incluyendo si son traumáticas o no traumáticas, y si el daño es focal o difuso.
Lesiones Cerebrales Traumáticas (LCT) Comunes
Estas lesiones son el resultado directo de una fuerza externa y varían en gravedad desde leves hasta muy severas.
1. Conmoción Cerebral
La conmoción cerebral es el tipo más común de LCT, a menudo clasificada como lesión cerebral traumática leve (LCTm). Generalmente es causada por un golpe o sacudida en la cabeza que provoca que el cerebro se mueva dentro del cráneo. Aunque se consideran leves, pueden tener síntomas significativos como náuseas, vómitos, dolor de cabeza, zumbido en los oídos y visión borrosa. Las conmociones repetidas pueden aumentar el riesgo de desarrollar encefalopatía traumática crónica (ETC), una condición neurodegenerativa grave.
2. Contusión Cerebral
Una contusión cerebral es esencialmente un hematoma o moretón en el tejido cerebral. Ocurre cuando un golpe en la cabeza o una sacudida repentina hace que el cerebro choque contra el interior del cráneo, dañando los vasos sanguíneos locales. Las contusiones pueden variar en tamaño y gravedad. Si bien muchas se curan solas, las más grandes pueden llevar a complicaciones como coágulos de sangre o hemorragias mayores. Los síntomas son a menudo similares a los de una conmoción.
3. Lesión Axonal Difusa (LAD)
A diferencia de las contusiones que son localizadas, la lesión axonal difusa es un ejemplo de lesión difusa. Ocurre en accidentes de alta energía, como los de tráfico, donde el cerebro se mueve violentamente dentro del cráneo, provocando que las fibras nerviosas (axones) se estiren y se desgarren en múltiples áreas. Es una forma grave de LCT que puede causar convulsiones, migrañas, pérdida de memoria, colapso, coma e incluso la muerte. Requiere una rehabilitación intensiva para recuperar la función.
4. Lesión Penetrante
Este tipo de lesión ocurre cuando un objeto atraviesa el cráneo y entra en el tejido cerebral. Puede ser causado por proyectiles (como balas) o fragmentos de objetos en accidentes. Las lesiones penetrantes son extremadamente graves y pueden resultar en hemorragias masivas, falta de oxígeno y daño cerebral severo, a menudo con un alto riesgo de muerte. Si alguien sufre una lesión penetrante, es crucial no intentar extraer el objeto incrustado y buscar atención médica urgente.
5. Lesión por Golpe-Contragolpe (Coup-Contrecoup)
Esta lesión recibe su nombre del mecanismo por el cual ocurre: el cerebro se lesiona en el punto de impacto inicial (golpe) y luego rebota y golpea el lado opuesto del cráneo (contragolpe), causando daño en dos lugares. Son comunes en accidentes de gran fuerza, como caídas o colisiones vehiculares. Los síntomas y el pronóstico dependen de la gravedad del impacto y las áreas cerebrales afectadas.
Lesiones Cerebrales Focales
Una lesión focal se refiere a un daño localizado en un área específica del cerebro. Estas lesiones pueden ser causadas por traumatismos o por condiciones no traumáticas como accidentes cerebrovasculares o tumores. A diferencia de las lesiones difusas (como la LAD), el daño se concentra en una región particular.
Tipos de lesiones focales incluyen:
- Contusión Cerebral: Como se mencionó anteriormente, es un hematoma localizado.
- Laceración Cerebral: Un desgarro del tejido cerebral, generalmente resultado de un traumatismo penetrante o muy severo.
- Hemorragia Epidural: Sangrado entre el cráneo y la duramadre (la capa más externa que recubre el cerebro), a menudo por fracturas de cráneo. Requiere atención urgente.
- Hemorragia Subdural: Sangrado entre la duramadre y el cerebro, usualmente por traumatismo craneal. Puede ser aguda o crónica.
- Hemorragia Intracerebral: Sangrado dentro del propio tejido cerebral. Causas incluyen trauma, hipertensión, aneurismas.
- Hemorragia Intraventricular: Sangrado dentro de los ventrículos cerebrales, que contienen líquido cefalorraquídeo. Puede verse en recién nacidos prematuros o adultos por trauma/aneurismas.
Las lesiones focales afectan funciones neurológicas específicas dependiendo de su ubicación. Una lesión en el lóbulo frontal puede afectar el juicio, mientras que una en el lóbulo occipital podría alterar la visión.
Lesiones Cerebrales Secundarias o Adquiridas No Traumáticas
El término lesión cerebral adquirida (LCA) a menudo se usa para englobar tanto las traumáticas como las no traumáticas. Sin embargo, a veces se habla de "lesión cerebral secundaria" o simplemente "LCA no traumática" para referirse a daños que no son causados por un impacto directo, sino por condiciones como:
- Aneurismas cerebrales
- Intoxicaciones (monóxido de carbono, plomo, otras neurotoxinas)
- Sobredosis de drogas
- Ictus (accidentes cerebrovasculares)
- Tumores cerebrales
- Encefalitis y Meningitis (infecciones)
- Trastornos metabólicos
- Convulsiones prolongadas
- Falta de oxígeno (ahogamiento, asfixia)
Estas lesiones, aunque no traumáticas en origen, también alteran la actividad neuronal y pueden tener secuelas significativas.
Lesiones Focales vs. Lesiones Difusas
Una distinción clave en las lesiones cerebrales es si el daño está localizado en un área específica (focal) o si está diseminado por múltiples regiones del cerebro (difusa). Esta diferencia impacta los síntomas, el pronóstico y el enfoque de la rehabilitación.
| Característica | Lesión Focal | Lesión Difusa |
|---|---|---|
| Ubicación del Daño | Área específica y localizada | Diseminado en múltiples áreas |
| Causas Comunes | Golpe directo, Ictus (coágulo/sangrado localizado), Tumores, Abscesos | Movimiento brusco del cerebro (aceleración/desaceleración), falta de oxígeno generalizada, infecciones generalizadas |
| Ejemplos | Contusión, Hemorragia epidural/subdural/intracerebral, Laceración | Lesión Axonal Difusa (LAD), daño por anoxia generalizada |
| Síntomas Típicos | Relacionados con la función del área afectada (ej: problemas de habla si afecta área del lenguaje, debilidad en un lado del cuerpo si afecta vía motora) | Más generales y generalizados (ej: pérdida del conocimiento prolongada, déficits cognitivos amplios, problemas de equilibrio y coordinación generalizados) |
| Pronóstico | Puede variar; recuperación de funciones específicas puede ser posible si la rehabilitación se enfoca en el área dañada. | A menudo más complejo y con recuperación más lenta debido al daño extendido. |
Entender esta distinción ayuda a predecir qué funciones es más probable que se vean afectadas y a planificar las estrategias de tratamiento y rehabilitación.
Síntomas de una Lesión Cerebral
Los síntomas de una lesión cerebral son increíblemente variados y dependen de la ubicación, el tipo y la gravedad del daño. Algunos síntomas pueden aparecer inmediatamente, mientras que otros pueden tardar horas, días o incluso meses en manifestarse. Es crucial estar atento a cualquier cambio después de un evento potencialmente dañino.
Los síntomas pueden agruparse en varias categorías:
- Alteraciones Cognitivas: Problemas de memoria, dificultad para concentrarse, lentitud para razonar y comprender, disminución de la capacidad de juicio y planificación, dificultades con el lenguaje (habla, comprensión, lectura, escritura), falta de habilidades para resolver problemas.
- Secuelas Sensoriales: Alteraciones de la percepción visual y espacial (visión borrosa, doble, negligencia visual), alteraciones del sentido del tacto, oído o gusto, sensibilidad a la luz y al ruido.
- Alteraciones Emocionales y de Comportamiento: Irritabilidad, agresividad, comportamiento impulsivo, conductas de riesgo, depresión, ansiedad, cambios de personalidad, apatía, paranoia.
- Secuelas Físicas: Dolores de cabeza intensos y persistentes, convulsiones, falta de coordinación y del sentido del equilibrio, mareos, debilidad, entumecimiento u hormigueo en las extremidades, dificultad para caminar, dificultad para hablar (disartria), problemas de deglución, fatiga.
Dado que algunas secuelas no son visibles externamente, las lesiones cerebrales a menudo se califican como una condición "invisible". Esto puede hacer que sea difícil para otros comprender los desafíos que enfrenta la persona afectada.
Diagnóstico de una Lesión Cerebral
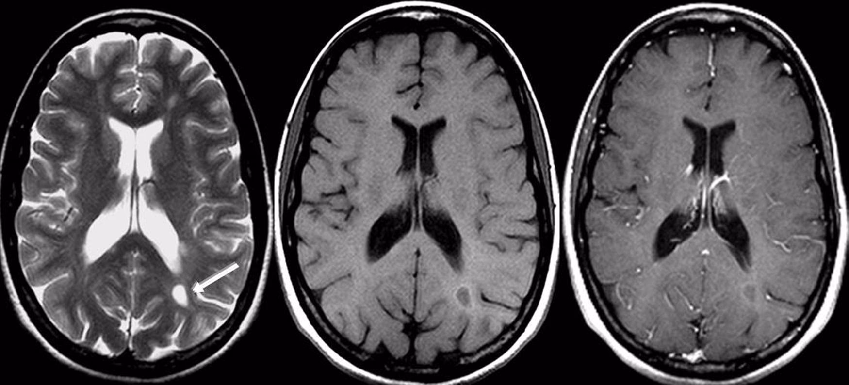
El diagnóstico de una lesión cerebral comienza con una evaluación clínica detallada, que incluye la historia del incidente, un examen físico y una evaluación neurológica para buscar signos de disfunción. Las pruebas de imagen son herramientas esenciales para visualizar el cerebro y detectar el daño.
- Tomografía Computarizada (TC): Útil para identificar rápidamente hemorragias, fracturas de cráneo y contusiones grandes, especialmente en situaciones de emergencia.
- Resonancia Magnética (RM): Ofrece imágenes más detalladas del tejido cerebral y es mejor para detectar lesiones más sutiles como la lesión axonal difusa, contusiones pequeñas o daño isquémico.
- Estudios Neuropsicológicos: Evaluaciones detalladas de las funciones cognitivas (memoria, atención, lenguaje, funciones ejecutivas) para identificar y cuantificar los déficits.
Estas herramientas, combinadas con la observación de los síntomas, permiten a los profesionales de la salud determinar el tipo, la ubicación y la gravedad de la lesión.
Tratamiento y Rehabilitación
El objetivo principal del tratamiento agudo es estabilizar al paciente, minimizar el daño secundario (como hinchazón o falta de oxígeno) y abordar cualquier complicación inmediata (como hemorragias que requieren cirugía). El tratamiento puede incluir cirugía para aliviar la presión, extirpar coágulos o reparar fracturas, y medicación para controlar la inflamación, las convulsiones o el dolor.
Sin embargo, una vez que el paciente está estable, la rehabilitación neurológica se convierte en un pilar fundamental del proceso de recuperación. La rehabilitación debe iniciarse lo antes posible para maximizar el potencial de recuperación.
El equipo de rehabilitación, que puede incluir fisioterapeutas, terapeutas ocupacionales, logopedas, neuropsicólogos y otros especialistas, trabaja en un plan personalizado basado en las necesidades específicas del paciente y el tipo de lesión. Las terapias comunes incluyen:
- Rehabilitación Física: Para mejorar la fuerza muscular, el equilibrio, la coordinación y la movilidad. Incluye ejercicios de rango de movimiento para prevenir contracturas y entrenamiento para caminar.
- Terapia Ocupacional: Ayuda a los pacientes a recuperar la capacidad de realizar actividades de la vida diaria (vestirse, comer, asearse) y tareas funcionales. Puede incluir entrenamiento para la coordinación.
- Logopedia (Terapia del Habla y Lenguaje): Aborda problemas de comunicación (dificultad para hablar, comprender, leer, escribir) y también problemas de deglución.
- Terapia Cognitiva: Se enfoca en mejorar las funciones cognitivas afectadas, como la memoria, la atención, la resolución de problemas y las funciones ejecutivas. A menudo implica dividir tareas complejas en pasos más pequeños y usar estrategias de compensación.
- Manejo del Dolor: Estrategias para controlar dolores de cabeza u otros tipos de dolor.
- Otras Terapias Específicas: Como terapia de movimiento inducido por restricción para extremidades debilitadas, o estrategias para compensar problemas de visión o reducir la espasticidad muscular (rigidez).
El éxito de la rehabilitación depende de muchos factores, incluyendo la gravedad y ubicación de la lesión, la edad y salud general del paciente, su motivación y apoyo social.
El Proceso de Recuperación
La recuperación de una lesión cerebral es un proceso que puede llevar tiempo, a menudo desde meses hasta varios años. Aunque el tejido cerebral destruido no puede regenerarse, el cerebro tiene una notable capacidad de neuroplasticidad, lo que significa que otras áreas pueden aprender a asumir funciones perdidas o encontrar nuevas formas de realizar tareas. La rehabilitación facilita activamente este proceso de aprendizaje y adaptación.
La recuperación funcional no siempre es predecible, pero la intervención temprana y constante es clave para optimizar los resultados. La rehabilitación no solo ayuda a recuperar funciones físicas y cognitivas, sino que también juega un papel vital en el manejo de las secuelas emocionales y en la mejora general de la calidad de vida. Es un camino que requiere paciencia, esfuerzo y un sistema de apoyo sólido.
Preguntas Frecuentes sobre Lesiones Cerebrales
¿Cuál es la diferencia entre una lesión cerebral traumática y una no traumática?
Una lesión cerebral traumática (LCT) es causada por una fuerza externa que impacta el cerebro, como un golpe o una sacudida. Una lesión cerebral no traumática es causada por un problema interno, como un accidente cerebrovascular, una infección, la falta de oxígeno o un tumor. Ambas son tipos de lesión cerebral adquirida (LCA).
¿Qué significa que una lesión cerebral sea focal o difusa?
Una lesión focal afecta un área específica y localizada del cerebro. Una lesión difusa implica daño extendido en múltiples áreas del cerebro, a menudo causado por movimientos violentos o falta de oxígeno generalizada.
¿Cuáles son los síntomas más comunes de una lesión cerebral?
Los síntomas varían ampliamente, pero pueden incluir problemas de memoria y concentración, dificultades con el lenguaje, cambios en la personalidad o el estado de ánimo, dolores de cabeza, mareos, problemas de equilibrio y coordinación, debilidad en el cuerpo y fatiga.
¿Cómo se diagnostica una lesión cerebral?
El diagnóstico se basa en la evaluación clínica, el historial del paciente, exámenes neurológicos y pruebas de imagen como la tomografía computarizada (TC) o la resonancia magnética (RM). Las evaluaciones neuropsicológicas también pueden ser necesarias.
¿Cuánto tiempo tarda la recuperación de una lesión cerebral?
El tiempo de recuperación varía enormemente dependiendo del tipo y la gravedad de la lesión, así como de factores individuales. Puede durar desde unos pocos meses hasta varios años. La rehabilitación temprana y continua es fundamental para optimizar la recuperación.
¿La rehabilitación puede restaurar completamente la función después de una lesión cerebral?
La rehabilitación ayuda a recuperar funciones perdidas y a aprender estrategias de compensación, aprovechando la plasticidad cerebral. Si bien la recuperación significativa es posible, especialmente con rehabilitación intensiva, la recuperación completa puede no ser siempre alcanzable, particularmente si hay destrucción extensa del tejido cerebral.
¿Las conmociones cerebrales son graves?
Aunque a menudo se clasifican como LCT leves, las conmociones cerebrales son lesiones cerebrales reales y deben tomarse en serio. Los síntomas pueden ser debilitantes y las conmociones repetidas pueden tener consecuencias a largo plazo.
Las lesiones cerebrales son condiciones complejas con un amplio espectro de causas, tipos y secuelas. Un diagnóstico preciso y un programa de rehabilitación personalizado son esenciales para ayudar a las personas a recuperarse y adaptarse a los desafíos que presentan estas lesiones.
Si quieres conocer otros artículos parecidos a Tipos de Lesiones Cerebrales y Recuperación puedes visitar la categoría Neurociencia.
