El Síndrome de Asperger, ahora comprendido dentro del vasto Espectro Autista, presenta un enigma fascinante para la neurociencia. Se manifiesta a través de patrones de comportamiento repetitivos, intereses intensos y una forma particular de interactuar social y comunicativamente. Si bien los síntomas son claros, su origen a nivel cerebral ha sido un área de intensa investigación, revelando que no se trata de una única anormalidad focal, sino de diferencias más extendidas en el desarrollo y funcionamiento del cerebro que impactan profundamente cómo la persona experimenta el mundo.

- La Arquitectura Cerebral en el Asperger
- El Impacto en el Procesamiento Sensorial y el Gating
- Una Percepción Única del Mundo
- Características y Desafíos Cotidianos
- Vivir con Asperger: Un Testimonio
- Asperger en el Entorno Laboral
- El Poder del Diagnóstico
- Comunicación y Sensibilización
- Tabla Comparativa: Fortalezas vs. Desafíos Típicos en Asperger
- Preguntas Frecuentes (FAQ) sobre Asperger y el Cerebro
La Arquitectura Cerebral en el Asperger
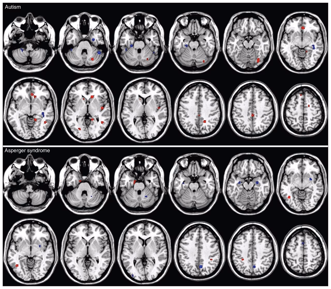
Las investigaciones sobre la anatomía cerebral en el Síndrome de Asperger, aunque aún en desarrollo, han comenzado a arrojar luz sobre las posibles bases neurobiológicas. A diferencia de la búsqueda inicial de una única lesión cerebral específica, los estudios más recientes, a menudo utilizando técnicas de resonancia magnética cuantitativa, sugieren diferencias generalizadas en el desarrollo cerebral que, sin embargo, se asocian con particularidades notables en regiones específicas.
Un estudio comparativo entre adultos con Síndrome de Asperger y un grupo de control encontró varias diferencias significativas. Por un lado, se observaron patrones de cambio volumétrico relacionados con la edad distintos. Mientras que en el grupo de control se apreciaba una reducción volumétrica asociada a la edad en los hemisferios cerebrales y los núcleos caudados, estas reducciones no eran evidentes en el grupo con Asperger. Esto podría sugerir trayectorias de desarrollo o envejecimiento cerebral diferentes.
Más allá de los cambios relacionados con la edad, las personas con Asperger mostraron consistentemente menos materia gris en regiones fronto-estriatales y cerebelosas en comparación con el grupo de control. Las regiones fronto-estriatales, que incluyen partes de la corteza prefrontal y los ganglios basales (como el núcleo caudado), son cruciales para funciones ejecutivas, planificación, control de impulsos y flexibilidad cognitiva. El cerebelo, tradicionalmente asociado con la coordinación motora, también desempeña roles importantes en la cognición, el lenguaje y las emociones.
Además de las diferencias en la materia gris, se encontraron diferencias generalizadas en la materia blanca. La materia blanca consiste en haces de fibras nerviosas (axones) cubiertas de mielina que conectan diferentes regiones del cerebro. Las diferencias en la materia blanca pueden indicar patrones de conectividad alterados, lo que podría afectar la eficiencia y la sincronización de la comunicación entre distintas áreas cerebrales.
El Impacto en el Procesamiento Sensorial y el Gating
Estas diferencias anatómicas parecen estar relacionadas con particularidades funcionales. Una hipótesis clave se centra en la disfunción de los circuitos límbicos y las vías fronto-estriatales, que son importantes para el Gating Sensoriomotor.
El gating sensoriomotor es un proceso neurológico que filtra la información sensorial entrante, permitiéndonos ignorar estímulos irrelevantes y enfocarnos en lo importante. Una medida común de este gating es la inhibición por prepulso (PPI), donde una señal sensorial débil (prepulso) antes de un estímulo fuerte (como un ruido repentino que causa un sobresalto) atenúa la respuesta de sobresalto. Un gating sensoriomotor deficiente significa que el cerebro tiene dificultades para filtrar esta información, lo que puede llevar a una sobrecarga sensorial y a dificultades para modular respuestas.
El estudio mencionado confirmó que el gating sensoriomotor estaba significativamente afectado en las personas con Síndrome de Asperger. Esta dificultad para filtrar estímulos podría ayudar a explicar por qué las personas en el espectro autista a menudo experimentan Hipersensibilidades sensoriales (a luces, sonidos, texturas, sabores) y por qué pueden tener dificultades para inhibir pensamientos, discursos o acciones repetitivas. Los circuitos fronto-estriatales son fundamentales en este proceso de inhibición y control.
Una Percepción Única del Mundo
Más allá de la neurobiología, la manifestación conductual y experiencial del Asperger implica una forma distintiva de interactuar con el entorno. Las personas con Síndrome de Asperger, al ser parte del espectro autista, a menudo reportan que ven, oyen y sienten el mundo de manera diferente a las personas neurotípicas. No se trata necesariamente de una menor capacidad intelectual (muchas personas con Asperger tienen un coeficiente intelectual promedio o superior), sino de un procesamiento de la información sensorial y social cualitativamente distinto.
Esta Percepción diferente puede manifestarse en:
- Hipersensibilidades o Hiposensibilidades: Reacciones intensas o inusualmente bajas a estímulos sensoriales (ruidos fuertes, luces brillantes, ciertas texturas, olores, sabores).
- Enfoque en los Detalles: Una tendencia a notar y procesar detalles específicos en lugar de la imagen global.
- Literalidad: Interpretar el lenguaje de manera muy directa, perdiendo matices, sarcasmo o lenguaje figurado.
- Dificultades con las Pistas Sociales No Verbales: Problemas para interpretar expresiones faciales, tono de voz, lenguaje corporal o entender las reglas sociales implícitas.
Características y Desafíos Cotidianos
El Síndrome de Asperger se caracteriza por un conjunto de rasgos que varían en intensidad y combinación entre individuos, reflejando la naturaleza de espectro de la condición.
Las características clave incluyen:
- Dificultad con las Interacciones Sociales: Problemas para iniciar o mantener conversaciones recíprocas, entender perspectivas ajenas, o participar en juegos sociales.
- Intereses Restringidos e Intensos: Pasión profunda por temas específicos, a menudo acumulando un conocimiento enciclopédico sobre ellos.
- Deseo de Coherencia y Rutina: Preferencia por la predictibilidad y la rutina, con dificultad para afrontar cambios inesperados.
Junto a estos desafíos, existen fortalezas distintivas:
- Gran Capacidad de Enfoque y Persistencia: Habilidad para concentrarse intensamente en tareas de interés.
- Aptitud para Reconocer Patrones: Facilidad para identificar estructuras y regularidades en la información.
- Atención al Detalle: Capacidad para notar y procesar información minuciosa que otros podrían pasar por alto.
Sin embargo, los desafíos pueden generar dificultades significativas:
- Hipersensibilidades: Que pueden hacer que ciertos entornos sean abrumadores.
- Dificultad en la Conversación: Problemas con el “toma y daca” de la charla, interrupciones, o monólogos sobre temas de interés.
- Dificultad con Habilidades de Comunicación No Verbal: Mantener la distancia adecuada, modular el volumen o el tono de voz, o usar gestos apropiados.
- Movimientos Incoordinados o Torpeza: Dificultades en la motricidad fina o gruesa.
- Ansiedad y Depresión: Comorbilidades comunes, a menudo resultado de las dificultades sociales y la sobrecarga sensorial.
Vivir con Asperger: Un Testimonio
La experiencia personal ofrece una perspectiva invaluable sobre cómo estas características neurobiológicas se traducen en la vida diaria. Como relata Dean, diagnosticado en la edad adulta, crecer con Asperger a menudo se siente como intentar jugar un juego social sin haber recibido el libro de reglas. Esta falta de comprensión intuitiva de las normas sociales puede llevar a situaciones incómodas o a la autoexclusión como mecanismo de afrontamiento.
La interacción social requiere un esfuerzo consciente y agotador. Dean describe cómo “pre-carga” cada conversación, anticipando posibles rutas y respuestas, lo que consume mucha energía mental. Después de la interacción, puede pasar horas analizando si dijo lo correcto o si su expresión facial coincidía con sus sentimientos. Esta constante monitorización y análisis contrasta con la fluidez social más automática de las personas neurotípicas.
A pesar de los desafíos sociales, las fortalezas pueden florecer en áreas de interés. La pasión por el aprendizaje, la capacidad de enfocar y la memoria para los detalles (como la trivia de películas que menciona Dean) son ejemplos de cómo los intereses restringidos pueden convertirse en áreas de gran habilidad y disfrute. Estas fortalezas a menudo se manifiestan en actividades solitarias o estructuradas, que son menos demandantes socialmente.

Asperger en el Entorno Laboral
El lugar de trabajo presenta tanto desafíos como oportunidades. Las dificultades en la comunicación no verbal o la tendencia a ser muy directo o “sobrecompartir” pueden llevar a malentendidos. Sin embargo, las fortalezas del Asperger, como la atención al detalle, la capacidad de reconocer patrones, el enfoque intenso y la pasión por aprender, son altamente valiosas.
Para apoyar a las personas con Asperger en el trabajo, es fundamental:
- Proporcionar Tareas Estructuradas: Asignar proyectos con objetivos claros y plazos definidos, lo que ayuda a canalizar el enfoque y evitar la tendencia a “perderse por la madriguera del conejo” en los detalles.
- Fomentar el Aprendizaje y la Investigación: Permitir y animar la profundización en temas de interés, lo que puede convertir a la persona en un experto en un área relevante para el trabajo.
- Comunicación Clara y Directa: Ser explícito en las instrucciones y expectativas, evitando el sarcasmo, las indirectas o el lenguaje figurado.
- Crear un Entorno de Confianza: Permitir que la persona se sienta cómoda siendo abierta sobre su diagnóstico y sus necesidades. Como dice Dean, ser transparente a menudo facilita las cosas porque permite a los demás entender cómo interactuar mejor.
El Poder del Diagnóstico
Para muchas personas, recibir un diagnóstico de Asperger en la edad adulta es una experiencia profundamente positiva y afirmativa. Como describe Dean, proporciona un marco para entender las dificultades experimentadas a lo largo de la vida. Ya no se trata de sentir que hay algo “mal” o que uno es simplemente “raro” o socialmente inepto. En cambio, es una explicación basada en la neurociencia de una forma diferente de procesar el mundo. El diagnóstico abre la puerta a la investigación personal, a conectar con otros en el espectro y a encontrar estrategias de afrontamiento y apoyo más efectivas.
Comunicación y Sensibilización
La clave para interactuar y apoyar a personas con Asperger (o cualquier persona neurodiversa) es la sensibilización y la comunicación abierta. Es crucial recordar que es un espectro: si has conocido a una persona con Asperger, solo has conocido a una persona con Asperger. Las necesidades y características varían enormemente.
Al comunicarse, especialmente en contextos formales como encuestas o entrevistas, es vital ser muy preciso y directo. Las personas en el espectro autista tienden a interpretar las preguntas de forma literal y se centran en responder exactamente lo que se pregunta, sin leer entre líneas o buscar matices implícitos. Preguntas abiertas o ambiguas pueden ser difíciles de responder de la manera que espera el neurotípico. A veces, preguntas muy dirigidas con opciones de respuesta claras son más efectivas.
La disposición a preguntar en lugar de asumir es fundamental. Las personas con Asperger a menudo están dispuestas a hablar sobre sus necesidades si se les pregunta de manera respetuosa y directa. Recursos como las redes de neurodiversidad en las organizaciones, la Sociedad Nacional Autista (en contextos del Reino Unido, como se menciona en el texto original) u otras organizaciones de apoyo al autismo pueden proporcionar información valiosa tanto para personas en el espectro como para sus aliados.
Tabla Comparativa: Fortalezas vs. Desafíos Típicos en Asperger
| Fortalezas Comunes | Desafíos Comunes |
|---|---|
| Gran capacidad de enfoque y persistencia | Dificultad con el 'toma y daca' conversacional |
| Aptitud para reconocer patrones | Dificultad con las pistas sociales no verbales |
| Atención excepcional al detalle | Hipersensibilidades sensoriales (luz, sonido, etc.) |
| Intereses intensos y conocimiento profundo en áreas específicas | Dificultad para iniciar interacciones sociales |
| Pensamiento lógico y analítico | Ansiedad o estrés en situaciones sociales complejas |
| Preferencia por la estructura y la rutina | Dificultad para manejar cambios inesperados |
Preguntas Frecuentes (FAQ) sobre Asperger y el Cerebro
¿Qué parte del cerebro se ve afectada por el Asperger?
No es una única parte, sino diferencias en el desarrollo y la conectividad de varias regiones, incluyendo áreas fronto-estriatales y cerebelosas, así como diferencias generalizadas en la materia gris y blanca. Se investiga especialmente el papel de los circuitos límbicos y fronto-estriatales en el gating sensoriomotor.
¿El Asperger es lo mismo que el autismo?
Actualmente, el Síndrome de Asperger se considera parte del Espectro Autista (TEA). Las personas con Asperger generalmente no tienen la discapacidad intelectual asociada a otras formas de autismo, pero comparten las dificultades en la interacción social, los intereses restringidos y los comportamientos repetitivos.
¿Las personas con Asperger ven el mundo de manera diferente?
Sí, muchas personas con Asperger reportan experimentar el mundo sensorial y social de manera distinta a las personas neurotípicas, a menudo debido a hipersensibilidades o hiposensibilidades sensoriales y una forma diferente de procesar la información social y emocional.
¿Qué es el gating sensoriomotor y por qué es importante en el Asperger?
Es la capacidad del cerebro para filtrar la información sensorial irrelevante. Un Gating Sensoriomotor deficiente, observado en Asperger, puede contribuir a la sobrecarga sensorial y a la dificultad para inhibir pensamientos o acciones repetitivas, lo que se cree relacionado con disfunciones en las vías fronto-estriatales.
¿Cómo puedo apoyar a alguien con Asperger en el trabajo o socialmente?
Comunicándose de forma clara y directa, siendo paciente, respetando las rutinas y la necesidad de estructura, valorando las fortalezas (como la atención al detalle o el enfoque), y preguntando directamente sobre sus necesidades y preferencias en lugar de hacer suposiciones. Fomentar un ambiente de aceptación y comprensión es clave.
En conclusión, el Síndrome de Asperger implica una compleja interacción entre la neurobiología y la experiencia. Las diferencias en la estructura y función cerebral, particularmente en las vías fronto-estriatales y cerebelosas, así como un gating sensoriomotor alterado, subyacen a las características distintivas de la condición. Comprender estas bases neurobiológicas y, al mismo tiempo, escuchar las experiencias personales de quienes viven con Asperger es esencial para fomentar la inclusión y el apoyo en todos los ámbitos de la vida.
Si quieres conocer otros artículos parecidos a Asperger: Cerebro y Percepción Diferente puedes visitar la categoría Neurociencia.
