En las profundidades de nuestro cerebro, oculto entre los dos hemisferios, reside una pequeña pero poderosa región conocida como precúneo. Aunque menos famosa que otras áreas cerebrales, su papel es fundamental para funciones cognitivas complejas, desde recordar nuestro pasado hasta comprender dónde nos encontramos en el espacio y reflexionar sobre nosotros mismos. Su ubicación discreta ha hecho que su estudio sea un desafío, pero la investigación moderna revela su importancia crucial en la arquitectura y función de nuestra mente.

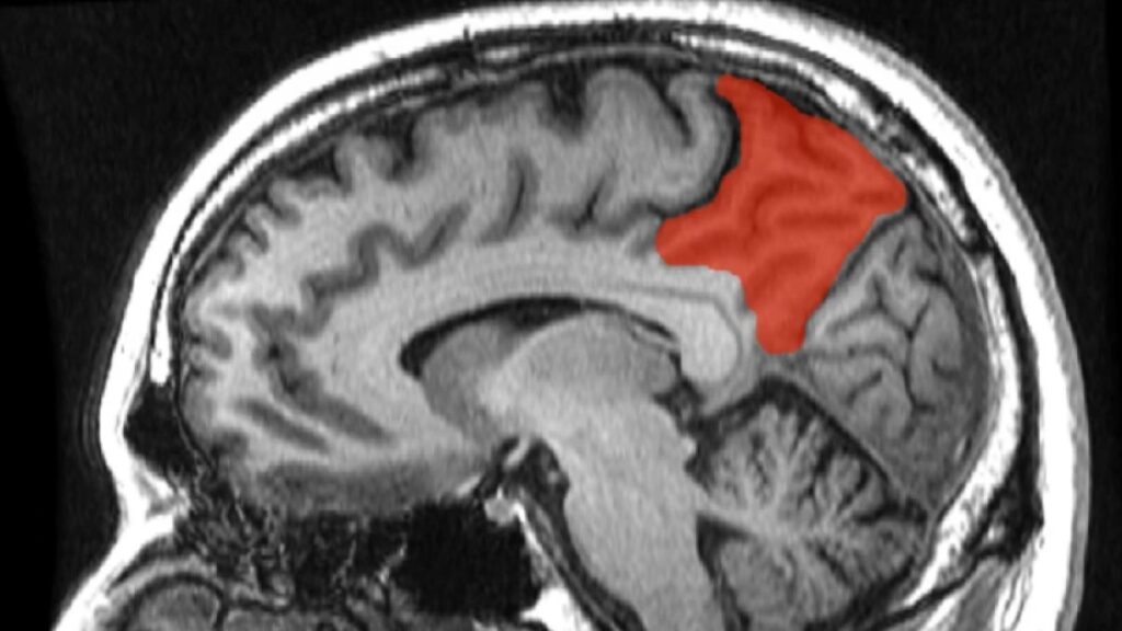
El precúneo, o precuña, es una parte del lóbulo parietal superior. Se encuentra alojado específicamente en la fisura longitudinal medial que separa los dos hemisferios cerebrales, lo que lo hace difícilmente accesible y visible sin técnicas de imagen avanzadas. A menudo se describe como la zona media de la corteza parietal superior. Sus límites anatómicos están bien definidos: hacia adelante, está delimitado por la rama marginal del surco cingulado; hacia atrás, por el surco parietooccipital; y hacia abajo, por el surco subparietal. Esta ubicación estratégica sugiere su rol como punto de conexión entre diferentes áreas cerebrales.
Históricamente, el precúneo fue considerado una región homogénea por los primeros cartógrafos cerebrales como Korbinian Brodmann. Sin embargo, investigaciones más recientes, especialmente basadas en la conectividad funcional, han demostrado que esta área no es uniforme, sino que posee al menos tres subdivisiones distintas. Esta complejidad interna subraya la diversidad de funciones que puede albergar esta pequeña región. Curiosamente, también se le conoce por un nombre histórico, el lóbulo cuadrado de Foville, en honor a Aquiles-Louis Foville.
Las funciones atribuidas al precúneo son variadas y de gran importancia para nuestra vida mental. Está fuertemente involucrado en la memoria episódica, que es nuestra capacidad para recordar eventos específicos de nuestra vida, incluyendo el contexto temporal y espacial en el que ocurrieron. Además, desempeña un papel crucial en el procesamiento visuoespacial, ayudándonos a orientarnos en nuestro entorno y a comprender la relación entre objetos y nuestro propio cuerpo en el espacio. Pero quizás una de sus funciones más intrigantes es su participación en las reflexiones sobre uno mismo y en aspectos de la conciencia. Esta área parece ser un centro clave para la autoconciencia y la introspección.
El investigador Emiliano Bruner y su equipo en el CENIEH han destacado la importancia del precúneo como uno de los principales centros de integración de nuestras redes neurales. Su investigación sugiere que esta área es fundamental para integrar la información que proviene de nuestro propio cerebro (información interna) con la información que recibimos del entorno (información ambiental). Actúa como un nudo vital para los procesos que sustentan la autoconciencia y lo que entendemos por mente. La forma y proporciones del precúneo influyen significativamente en la organización espacial general de los hemisferios cerebrales, siendo una fuente principal de variación anatómica individual.
La relevancia del precúneo no se limita a las funciones cognitivas en el cerebro adulto. Sorprendentemente, esta región parece haber jugado un papel fundamental en la evolución del cerebro humano. Emiliano Bruner ha demostrado que la característica principal de la expansión cerebral en *Homo sapiens* es la ampliación de las áreas parietales, donde se encuentra el precúneo. Este patrón de desarrollo cerebral temprano después del nacimiento, que lleva a esta expansión parietal, es único de nuestra especie y no se observa ni en chimpancés ni en Neandertales. Esto sugiere que los cambios en esta región pudieron haber sido clave para la emergencia de capacidades cognitivas superiores.
Estas áreas expandidas en los humanos modernos no solo tienen una organización espacial diferente, sino que también presentan tipos de células distintas a las de otros primates. La investigación apunta a que estas áreas, incluyendo el precúneo, representan un nudo fundamental en la compleja red de conexiones cerebrales y están íntimamente relacionadas con la inteligencia, particularmente con las capacidades de simulación y de imaginación. La posibilidad de que las variaciones morfológicas en el precúneo puedan estar asociadas con diferencias en las capacidades cognitivas individuales es un área activa de investigación.
Además de su papel en la evolución y las funciones cognitivas, el precúneo tiene una conexión inquietante con una de las enfermedades neurodegenerativas más devastadoras: el Alzheimer. Es en esta área donde a menudo se localizan los primeros síntomas de la enfermedad. Esta observación llevó a Emiliano Bruner y Heidi Jacobs a proponer una hipótesis interesante en 2013, interpretando la neurodegeneración asociada al Alzheimer desde una perspectiva evolutiva. Sugieren que las áreas que se expandieron más recientemente en la evolución humana, como el precúneo, podrían ser más vulnerables a los procesos degenerativos.
Anatómicamente, como se mencionó, el precúneo es una circunvolución pequeña con forma de cuña ubicada en la superficie medial del lóbulo parietal. Está claramente delimitado por los surcos parietooccipital (posteriormente) y el lóbulo paracentral (anteriormente). A pesar de su aparente simplicidad en la descripción anatómica gruesa, su organización interna es compleja, como reflejan sus subdivisiones funcionales. Estas subdivisiones, basadas en patrones de conectividad en estado de reposo, incluyen una región anterior sensomotora, una región centro cognitiva/asociativa, y una región visual posterior.
En términos de citoarquitectura, el precúneo se corresponde en parte con el Área de Brodmann 7. Esta área, que también incluye el lóbulo parietal superior, es conocida por su papel en la localización de objetos en el espacio. Funciona integrando la información visual con la información propioceptiva (la sensación de la posición y el movimiento de nuestro propio cuerpo) para determinar dónde se encuentran los objetos en relación con nuestras partes corporales. Esto refuerza el rol del precúneo en el procesamiento visuoespacial y la navegación.
A pesar de su indudable importancia, el estudio del precúneo ha sido históricamente complicado. Su ubicación profunda y oculta dentro de la fisura longitudinal dificulta su acceso directo tanto para el estudio como para la cirugía. Además, rara vez es afectado por lesiones aisladas, ya sea por accidentes cerebrovasculares o traumas localizados. Esto ha significado que, durante mucho tiempo, fuera considerado "una de las áreas asignadas con menos precisión de toda la superficie cortical". Sin embargo, las técnicas modernas de neuroimagen, como la resonancia magnética funcional, han permitido explorar su actividad y conectividad in vivo, revelando la riqueza de sus funciones.
| Función Principal del Precúneo | Descripción Detallada |
|---|---|
| Memoria Episódica | Fundamental para la recuperación de recuerdos de eventos personales pasados, incluyendo detalles contextuales. |
| Procesamiento Visuoespacial | Involucrado en la navegación, la orientación espacial y la comprensión de la relación entre objetos y el propio cuerpo. |
| Reflexión sobre uno mismo | Participa en procesos de autoconciencia, introspección y evaluación del propio yo. |
| Conciencia | Contribuye a diferentes aspectos del estado consciente y la integración de la información sensorial y cognitiva. |
| Integración Neural | Actúa como un centro nodal clave para combinar información procesada internamente con estímulos externos del ambiente. |
| Localización Espacial (BA7) | Integra información visual y propioceptiva para determinar la posición de objetos en relación al cuerpo. |
La investigación continua sobre el precúneo promete desentrañar aún más los misterios de la cognición humana, la evolución cerebral y las bases de enfermedades neurodegenerativas. Comprender esta región oculta es crucial para tener una imagen completa de cómo funciona nuestra mente.
Preguntas Frecuentes sobre el Precúneo
¿Dónde se encuentra el precúneo?
El precúneo se localiza en la parte media del lóbulo parietal superior del cerebro, oculto en la fisura longitudinal medial que separa los dos hemisferios cerebrales.
¿Qué funciones tiene el precúneo?
El precúneo está involucrado en funciones clave como la memoria episódica, el procesamiento visuoespacial, la reflexión sobre uno mismo, aspectos de la conciencia y la integración de información cerebral interna y ambiental externa.
¿Por qué es importante el precúneo en la evolución humana?
El precúneo se encuentra en un área (lóbulo parietal) que experimentó una expansión significativa en la evolución de *Homo sapiens*, un patrón de desarrollo cerebral que no se observa en otros primates ni en Neandertales. Se cree que esta expansión y la organización del precúneo están ligadas a capacidades cognitivas superiores como la simulación y la imaginación.
¿Hay alguna relación entre el precúneo y el Alzheimer?
Sí, los primeros síntomas de la enfermedad de Alzheimer a menudo se localizan en el precúneo. Existe una hipótesis que sugiere que las áreas cerebrales que se expandieron más recientemente en la evolución, como el precúneo, podrían ser más vulnerables a la neurodegeneración asociada con el Alzheimer.
¿Es fácil estudiar el precúneo?
No, el precúneo es difícil de estudiar debido a su ubicación profunda y oculta dentro del cerebro, así como a la rareza de lesiones aisladas en esta región. Sin embargo, las técnicas modernas de neuroimagen han mejorado nuestra capacidad para investigarlo.
En conclusión, el precúneo, a pesar de su naturaleza oculta y los desafíos para su estudio, emerge como una región cerebral de extraordinaria importancia. Su papel central en la integración de información, su implicación en funciones cognitivas de alto nivel como la memoria, la conciencia y la autopercepción, y su sorprendente conexión con la historia evolutiva de nuestro cerebro y patologías como el Alzheimer, lo posicionan como un foco crucial para la investigación en neurociencia. Continuar explorando el precúneo es fundamental para desentrañar los mecanismos más íntimos de la mente humana.
Si quieres conocer otros artículos parecidos a El Precúneo: Un Centro Cerebral Clave puedes visitar la categoría Neurociencia.
